Generación de raíces transformadas y análisis fitoquímico preliminar en la planta medicinal Bidens odorata Cav.
Palabras clave:
Agrobacteriu rhizogenes, metabolitos secundarios, raíces transformadas, TLCResumen
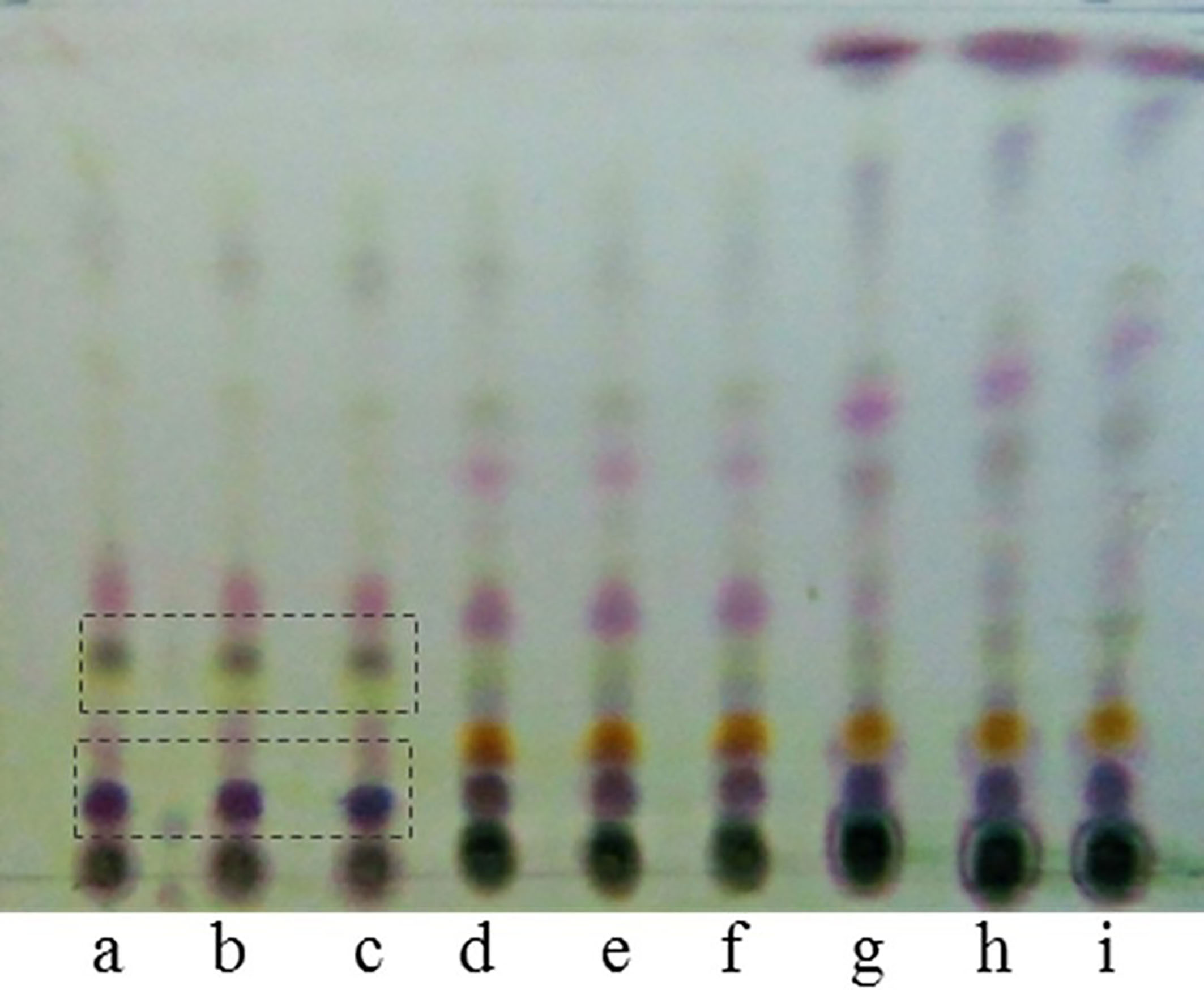
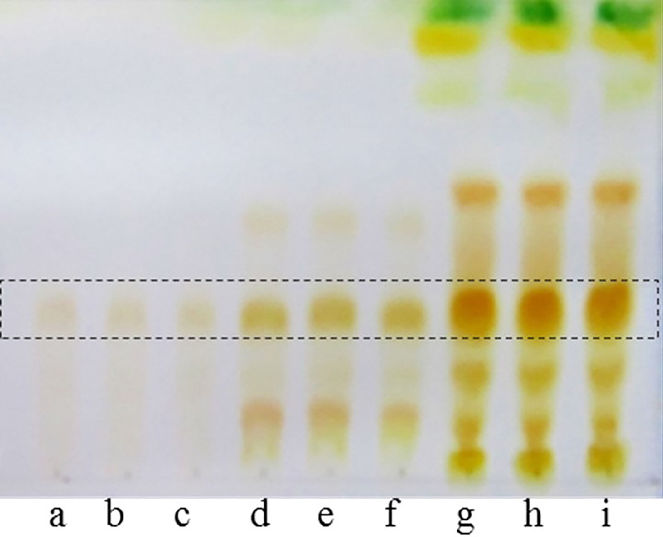
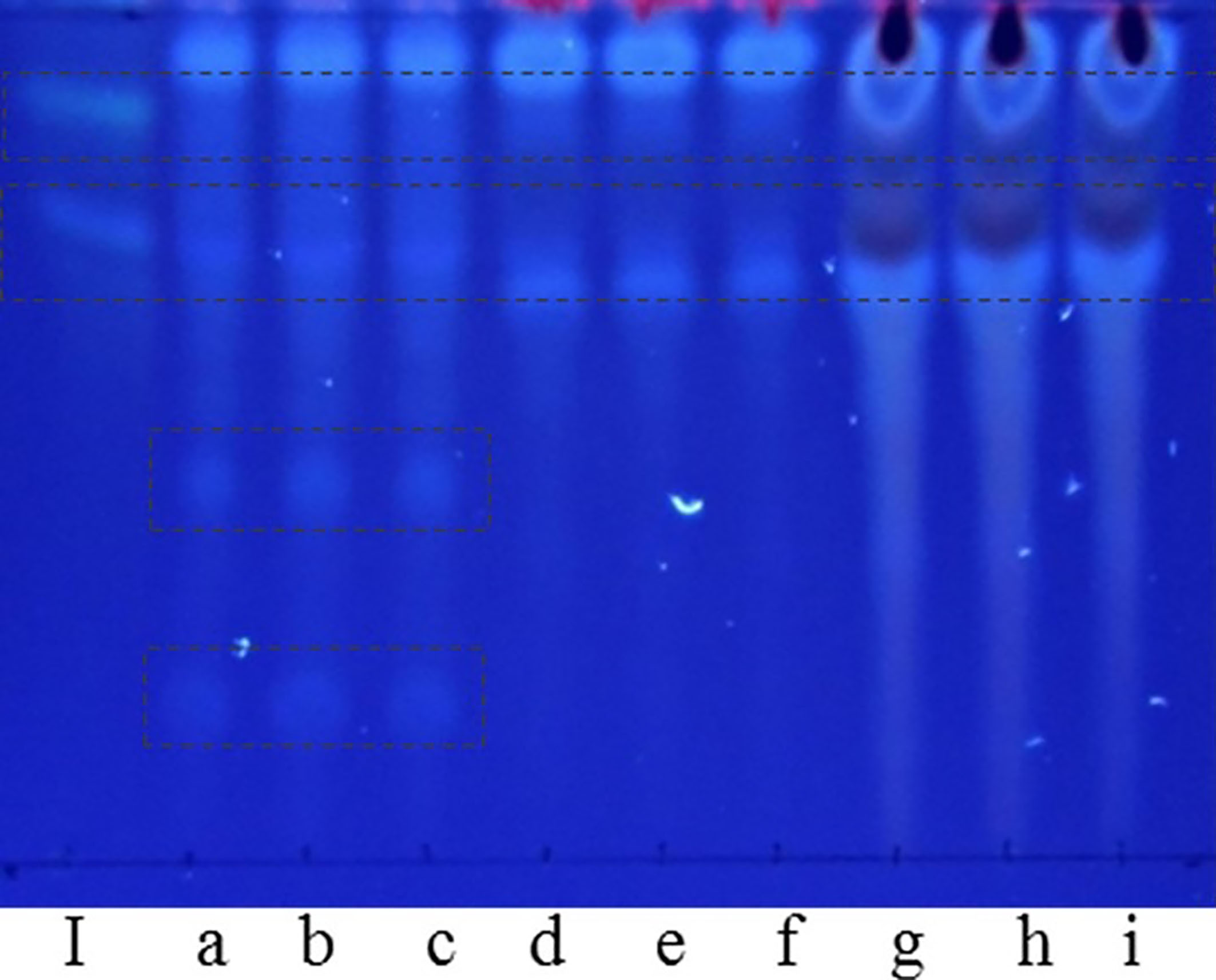
Se desarrolló un protocolo exitoso de propagación masiva in vitro para Bidens odorata Cav. mediante el cultivo de segmentos nodales en medio de Murashige y Skoog adicionado con citocininas. Los mejores resultados fueron 5.5 ± 0.4 brotes por explante con benciladenina y 4.9 ± 0.3 con N6-(2-isopentenil)-adenina. También se evaluó su susceptibilidad a la transformación genética con tres cepas de Agrobacterium rhizogenes. La mejor fue la cepa A4/pESC4, a una densidad bacteriana de 107 UFC mL-1, que generó los cultivos de raíces transformadas estables y de crecimiento activo, con una acumulación de biomasa de 4.8 veces el inóculo inicial a la tercera semana de cultivo. La verificación de la transformación se hizo histoquímicamente mediante la prueba de GUS, siendo positiva desde un 7 hasta un 82 % de las raíces evaluadas; así como molecularmente, mediante la amplificación de los fragmentos correspondientes a los genes rolB, gus y nptII. El escrutinio fitoquímico realizado mediante cromatografía en capa fina reveló la capacidad biosintética que tienen las raíces transformadas para sintetizar compuestos de tipo alcaloide, derivados de antraceno, aceites esenciales, flavonoides, saponinas, de tipo glicósido de diterpeno dulce o esteroide y triterpenos. Estos están presentes en la parte aérea o en raíces de plantas de B. odorata, por lo que estos tejidos pueden ser una opción viable para la obtención de metabolitos de interés farmacológico.Referencias
Alonso, C.A.J., Maldonado-Miranda, J.J., Zárate-Martínez, A., Jocobo-Salcedo, M. d R., Fernández-Galicia, C., Figueroa-Zúñiga, A., Méndez-Martínez, R., Carranza-Álvarez, C., 2012. “Medicinal plants used in the Huasteca Potosina, México”. Journal of Ethnopharmacology. 143:292-298.
Aqil, F., Ahmad, I., Owais N., 2006. “Targeted screening of bioactive plant extracts and phytocompounds against problematic groups of multidrug-resistant bacteria”. In: Aqil F, Owais M (eds) Modern Phytomedicine. Turning medicinal plants into drugs. Wiley-VCH Verlag GmbH & Co. KGaA, pp173.
Astudillo, V.A., Dávalos, V.H., De Jesús, L., Herrera, G., Navarrete, A., 2008. “Investigation of Althernanthera repens and Bidens odorata on gastrointestinal disease”. Short report. Fitoterapia 79: 577-580.
Biblioteca Digital de la Medicina Tradicional Mexicana, 2009. Aceitilla, Bidens odorata Cav. UNAM. http://www.medicinatradicionalmexicana.unam.mx/monografia.php?l=3&t=&id=7077.
Bisht, D., Owais, M., Venkatesan, K., 2006. “Potencial of plant-derived products in the treatment of mycobacterial infections”. In: Aqil F, Owais M (eds) Modern Phytomedicine. Turning medicinal plants into drugs. Wiley-VCH Verlag GmbH & Co. KGaA, pp293.
Chabaud, M., Boisson, D.A., Zhang, J., Taylor, C.G., Yu, O., Barker, G., 2006. “Agrobacterium rhizogenes-mediated root transformation”. Medicago truncatula handbook, pp8.
Chaudhuri, K.N., Ghosh, B., Tepfer, D., Jha, S., 2005. “Genetic transformation of Tylophora indica with Agrobacterium rhizogenes A4: growth and typlophorine productivity in different transformed root clones”. Plant Cell Rep 24: 25-35.
Deba, F., Xuan, T.D., Yasuda, M., Tawata, S., 2007. “Herbicidal and fungicidal activities and identification of potential phytotoxins from Bidens pilosa L. var. radiate Scherff”. Weed Biology and Management 7:77-83.
Dhakulkar, S., Ganapathi, T.R., Bhargava, S., Bapat, V.A., 2005. “Induction of hairy roots in Gmelina arborea Roxb. and production of verbascoside in hairy roots”. Plant Science 169: 812-818.
González, E.M., López, E.I.L., González, E.M.S., Tena, F.J.A., 2004. “Plantas medicinales del estado de Durango y zonas aledañas”. Insitutuo Politénico Nacional, México, pp208.
González, S.A.E., 2010. “Use of medicinal plants in Monterrey, México”. Natulae Scientia Biologiene. 2:7-11.
Jacob, A., Malpathak, N., 2005. “Manipulation of MS and B5 components for enhancement of growth and solasodine production in hairy root cultures of Solanum khasianum Clarke”. Plant Cell, Tissue and Organ Culture, 80: 247-257.
Jofre, G.A.E., Villegas, S.N., Cabrera, P.J.L., Adame, A.R.M., Herrera, E.L., Simpson, J., 1997. “Agrobacterium-mediated transformation of Amaranthus hypocondriacus: light-and tissue-specific expression of a pea chlofophyll a/b-binding protein promoter”. Plant Cell Reports, 16: 847-852.
Makhzoum, A., Sharma, P., Bernards, M.A., Trémouillaux, G.J., 2013. “Hairy roots: An ideal plataform for transgenic plant production and other promising applications”. In: Gang DR (ed) recent Advances in Phytochemistry, Springer New York Heidelberg Dordrecht London, pp 48.
Melody, S.C., 1997. Plant molecular biology – a laboratory manual. Springer Berling Heidelberg.
Murashige, T., Skoog, F., 1962. “A revised medium for rapid growth and bio assays with tobacco tissue cultures”. Physiologia Plantarum, 15: 473-497.
Murthy, H. N., Dijkstra, C., Anthony, P., White, D. A., Davey, M. R., Power, J. B., Hahn, E. J., Paek, K. Y., 2008. “Establishment of Withania somnifera hairy root cultures for the production of withanolida A”. Journal of Integrative Plant Biology, 50 (8): 975-981.
Oliveira, F.Q., Andrade-Neto, V., Krettli, A.U., Brandao, M.G.L., 2004. “New evidences of antimalarial activity of Bidens pilosa roots extract correlated with polyacetylene and flavonoids”. Journal of Ethnopharmacology 93:39-42.
Osbourn, A. E., Andrade N., V., Krettli, A. U., Brandao, M. G. L., 2004. “New evidences of antimalarial activity of Bidens pilosa roots extract correlated with polyacetylene and flavonoids”. Journal of Ethnopharmacology 93: 39-42.
Palombo, E.A., 2006. “Traditional plants and herbal remedies used in the treatment of diarrhea disease: mode of action, quality, efficacy, a safety considerations”. In: Aqil F, Owais M (eds) Modern Phytomedicine. Turning medicinal plants into drugs. Wiley-VCH Verlag GmbH & Co. KGaA, pp247.
Palomeque, C. A., Tafoya, F., Alpuche S, A. G., Pérez M. B., E., 2015. “Effects of idfferent culture media and conditions on biomass production of hairy root cultures in six Mexican cactus species. In Vitro Cell. Dev. Biol.-Plant 51: 332-339.
Pavlova, O.A., Matveyeva, T.V., Lutova, L.A., 2014. “Rol-Genes of Agrobacterium rhizogenes”. Russian Journal of Genetics: Applied Research 4 (2): 137-145.
Perdomo, R.F., Mondragón, P.J., 2009. Malezas de México. Ficha – Bidens odorata Cav. Aceitilla. http://www.conabio.gob.mx/malezasdemexico/asteraceae/ egión-odorata/fichas/ficha.htm. Fecha de último acceso: 26 de marzo de 2014.
Quandt, H.J., Pühler, A., Broer, I., 1993. “Transgenic root nodules of Vicia hirsute: a fast and efficient system for the study of gene expression in indeterminate-type nodules”. The American Phytopathological Society 6 (6): 699-706.
Rout, G. R., Samantaray, S., Das, P., 2000. “In vitro manipulation and propagation of medicinal plants”. Biotechnology Advances 18: 91-120.
Roychowdhury, D., Majumder, A., Jha, S., 2013. “Agrobacterium rhizogenes-mediated transformation in medicinal plants: prospects and challenges”. In Chandra S, lata H, Varma A (eds) Biotechnology for Medicinal plants, Springer, pp 29-68.
Savka, M.A., Ravillion, B., Noel, G.R., Farrand, S.K., 1990. “Induction of hairy roots on cultivated soybean genotypes and their use to propagate the Soybean Cyst Nematode”. The American Phytopathological Society, 80 (5): 503-508.
Somashekar, M. N., 2016. “A Review on anthracene and its derivatives: applications”. Research & Reviews: Journal of Chemistry. e-ISSN: 2319-9849.
Sutton, S., 2011. “Measurement of microbial cells by optical density”. Journal of Validation Technology, Winter 46-49.
Stomp, A.M., 1992. “Measurement detection of GUS”. In Gallagher SR (ed) GUS Protocols: Using the GUS as a reporter of gene expression, Academic Press, Inc, San Diego.
Uddin, M.R., Li, X., Won, O.J., Park, S.U., Pyon, J.Y., 2011. “Herbicidal activity of phenolic compounds from hairy root cultures of Fagopyrum tataricum”. Weed Research, 52: 25-33.
Veena, V., Taylor, C.G., 2007. “Agrobacterium rhizogenes: recent developments and promising applications”. In Vitro Cell. Dev. Biol.-Plant 43:383-403.
Wagner, H., Bladt, S., 2011. Plant Drug Analysis. A Thin Layer Chromatography. Second edition. Springer-Verlag Berlin Heidelberg New York, pp368.
Zahara, K., Bibi, Y., Tabassum, S., Mudrikah, Bashir, T., Haider, S., Araa, A., Ajmal, M., 2015. “A review on pharmacological properties of Bidens biternata: A potential nutraceutical”. Asian Pacific Journal of Tropical Disease 5(8): 595-599.
Zavala-Mendoza, D., Alarcon-Aguilar, F.J., Pérez-Gutierrez, S., Escobar-Villanueva, M.C., Zavala-Sánchez, M.A., 2013. “Composition and antidiarrheal activity of Bidens odorata Cav”. Evidence-based complementary and alternative medicine 2013, 7p.
Zia, M., Mirza, B., Akbar M., S., Fayyaz C., M., 2010. “Expression of rol genes in transgenic soybean (Glycine max L.) leads to changes in plant phenotype, leaf morphology, and flowering time”. Plant Cell Tiss Organ Cult 103: 227-236.
Descargas
Archivos adicionales
Publicado
Número
Sección
Licencia
Polibotánica por Departamento de Botánica de la Escuela Nacional de Ciencias Biológicas del Instituto Politécnico Nacional se distribuye bajo una Licencia Creative Commons Atribución-NoComercial-CompartirIgual 4.0 Internacional.

















